Inserting or Adjusting braces
Adjusting fixed braces
For fixed braces, we bond small metal or ceramic brackets to your teeth using a special adhesive. Once all brackets are in place, a thin metal wire is threaded through them and secured with small elastic bands.
During check-ups, we sometimes replace the wire or tighten it so your teeth gradually move into the correct position.
If you wear rubber elastics, this is the part you must take good care of. These elastics connect your upper and lower jaws on both sides. You attach them to the hooks on your brackets. Your orthodontist will show you how to do this correctly.
Depending on your specific condition, these hooks may be placed in different positions.
Be careful about what you eat and drink, and maintain excellent oral hygiene when wearing braces.
Inserting removable braces
Removable braces consist of an acrylic plate that fits against your palate. Metal clasps help keep the appliance securely in place.
Your orthodontist will explain the correct use of your specific appliance.
To insert the removable braces, gently slide it over your teeth until it fits firmly:
- First place the front wire over your front teeth.
- Then press the back of the appliance into place until it 'clicks'.
- Afhankelijk van het ontwerp van de beugel kan het nodig zijn om:
- press both sides simultaneously with your thumbs, or
- click one side into place first.
- Never force the appliance. If it doesn’t slide into place easily, stop and try again.
Removing the braces:
- Never pull on the front wire - it can bend.
- Do not use your tongue to push it out - this may damage the clasps.
- Do not bite the appliance loose with your lower teeth.
- Always remove it by gently pulling the back part on both sides with your fingers.
During check-ups, we may adjust springs or screws to maintain the correct tension.
Your responsibility is mainly to ensure proper cleaning and maintenance.
-
Adjusting lingual or invisible braces
Lingual braces are attached to the inside surfaces of your teeth, on the tongue side. We bond the brackets and attach a thin wire there.
Placing this appliance takes slightly longer than regular braces because working behind the teeth is more challenging.
During check-ups, we may adjust or tighten the wire to continue moving your teeth.
You may also need to apply rubber bands yourself to connect the upper and lower jaws. You attach them to the hooks on the brackets. Your orthodontist will show you how.
Just like with traditional braces, you must take good care of the appliance and be cautious with food and beverages.
Inserting and removing aligners
Aligners are transparent, removable trays that fit precisely over your teeth.
How to insert your aligners:
- Place the aligner gently onto your teeth.
- Use your fingertips to press it down softly - start at the front teeth and work your way toward the molars until the aligner fits snugly everywhere.
How to remove your aligners:
- Grip the aligner at the back near the molars with your fingernail or a special removal tool.
- Gently pull it away from your teeth - upward or downward depending on the arch.
- Repeat on both sides.
- Generally, you can easily remove the aligner from your mouth after these steps. If this is not the case, repeat the same steps at the canines and also carefully loosen the aligner at the front, at the incisors, in the same way.
Avoid using too much force: do not pull hard or bend the aligner.
Every few weeks, replace the aligner with the next one in the series. Each new aligner moves your teeth slightly further.
During check-ups, we assess whether treatment is progressing as planned.
You can read everything about how to properly care for your aligners here.
Adjusting or turning the screw of your butterfly braces or palatal expander (RPE / BMX / HHRPE)
The 'butterfly braces' or palatal expander is a fixed device attached to the upper molars. It contains a central expansion screw that gradually widens the upper jaw, creating space for teeth and allowing canine buds to descend.
At home the appliance must be 'activated' by turning the screw. Each turn widens the screw slightly and applies pressure on the mid-palatal suture.
The screw is adjusted using a special key. This should ideally be done by someone other than the patient
How exactly do you use the key to correctly adjust the screw and activate the palatal expander?
- Insert the small key (with the logo facing upward) into the access hole of the screw, up to the bend in the key (+/- 3 mm).
- Then push the key backward toward the groove until it cannot go any further and you see the next hole.
- Carefully remove the key straight backward or downward according to the instructions.
It is important to only perform the movement that we have shown you! Your orthodontist will give you a turning schedule and demonstrate the procedure.
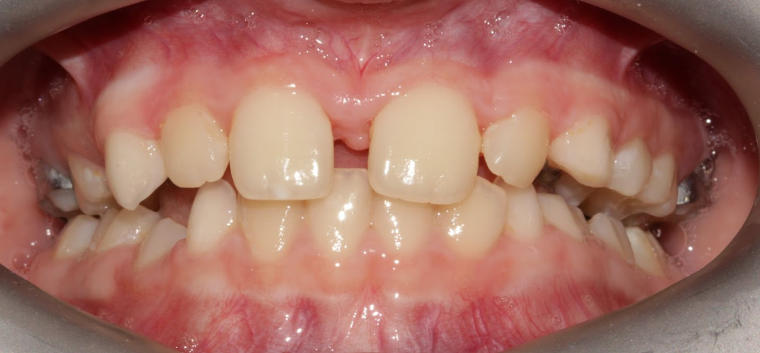
After 5-10 days of activation, a gap will appear between the front teeth. This is normal and shows the device is working. The gap should reach at least 3 mm, preferably more than 4 mm, as shown on the picture below.

The gap will close again later, but the expansion achieved remains at the back of the mouth.
Your orthodontist will tell you at each check-up whether more activation is needed.
Once the desired width is achieved, the appliance usually stays in place several weeks or months to stabilise the bone. Afterwards, we remove the appliance, and another orthodontic device (often fixed braces) may or may not follow immediately.
Note: this device is very precisely customised. If it comes loose, it is almost always due to food that must be avoided.
How to properly clean your butterfly expander? Find out here.
Inserting and removing a night retainer
A night retainer is worn after active treatment to maintain the results.
You insert and remove it the same way you would with aligners.
You haven't found an answer to your question?
Other practical info
Below you’ll find a selection of our practical info. All the answers to the most frequently asked questions can be found here.
Do you need orthodontic treatment?
Want to get the smile you've always dreamed of? At OrthoGroep, we are happy to guide you every step of the way. Make an appointment today and find out what we can do for you!

